CABINET DENTAIRE DES DRS VU ET VAN
Chirurgiens-dentistes à Montargis

3 Rue Manuel
45200 Montargis

CABINET DENTAIRE DES DRS VU ET VAN
Chirurgiens-dentistes à Montargis

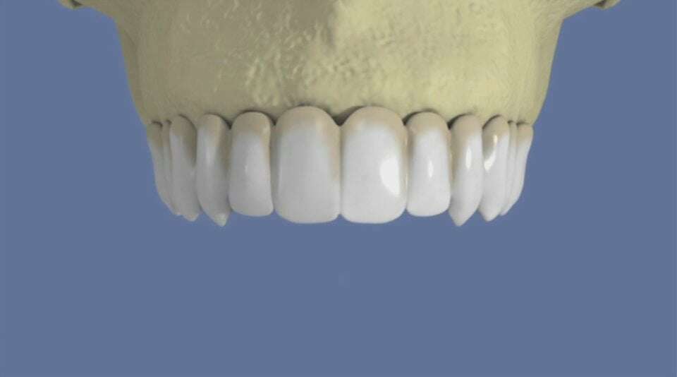
Maxillaire : bridge vissé sans fausse gencive


video-play-icon

Articles similaires

Création par Webdentiste

Connexion